Sindrome locked-in: vivere intrappolati nel proprio corpo


Scritto e verificato la psicologa Gema Sánchez Cuevas
La sindrome locked-in è una patologia poco frequente causata da una lesione pontina bilaterale. La ripercussione della lesione sul ponte è grave e fa sì che la persona non riesca a muovere il corpo, ad eccezione degli occhi e delle palpebre. Nonostante si perda quasi del tutto la mobilità, la coscienza e il sistema somatosensoriale rimangono intatti.
È come se il cervello si “sconnettesse” dal corpo e perdesse la capacità di inviare comandi. Viceversa, il cervello continua a ricevere tutti i segnali sensitivi, come il dolore e la temperatura, e anche quelli somatici, come la fame. La comunicazione diventa quasi impossibile data l’incapacità di muovere i muscoli fonatori e questa si riduce all’uso del movimento delle palpebre. La persona sceglie le lettere delle parole e delle frasi che vuole formare da una lavagna sulla quale figura l’alfabeto. È un metodo lento, ma che è stato in grado di dar “voce” a coloro che la perdono a causa di questa sindrome.
Sindrome locked-in: sintomi, cause e pronostici
La sintomatologia della sindrome locked-in è il seguente: tetraplegia, anartria (incapacità di articolare il linguaggio) e conservazione della coscienza. Poiché non sono coinvolte né la corteccia cerebrale né il talamo, le funzioni cognitive non vengono colpite. Il soggetto percepisce, elabora e produce con normalità l’informazione tramite i processi cognitivi. Percepisce tutti gli stimoli esterni, ma non è in grado di rispondervi fisicamente.

La causa principale di questa sindrome è la trombosi basilare, che può presentare sintomi premonitori settimane o mesi prima, come vertigini o nausea. Come causa non vascolare, troviamo il trauma cranioencefalico, con la contusione del tronco cerebrale o la dissezione vertebrobasilare. A seconda della gravità del danno motorio, si possono distinguere tre diversi quadri clinici:
- Classico: presenta tetraplagia e anartria con conservazione della coscienza e della mobilità oculare e delle palpebre.
- Incompleto: simile al classico, ma si conserva qualche movimento in più oltre a quello oculare.
- Totale: non si preserva nessun movimento, solitamente è accompagnato da lesioni del mesencefalo.
A seconda dell’evoluzione, può essere transitorio o cronico. Nei casi in cui si verifica una diconnessione delle vie discendenti proveniente dal ponte, la condizione è irreversibile. La disconnessione delle vie discendenti fa sì che non arrivino i comandi inviati dal resto del corpo e, di conseguenza, che non si possa rispondere a nessuno stimolo, sebbene venga percepito.
Mezzi per diagnosticare la sindrome locked-in
È logico pensare che sia difficile individuare la sindrome locked-in e differenziarla da altre, come il coma anche se in un primo momento non è facile sapere se le facoltà mentali del paziente sono intatte, poiché non è possibile comunicare.
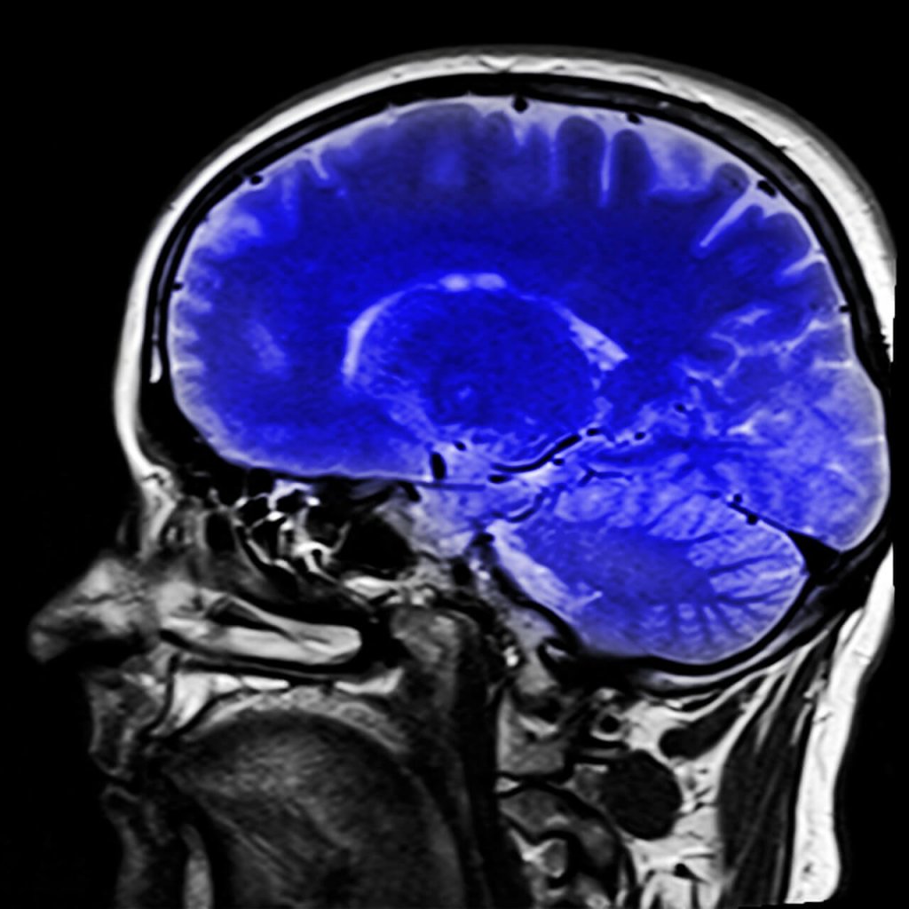
Esistono, però, alcune prove neurologiche che aiutano la diagnosi. La risonanza magnetica può mostrare il tipo di lesione cerebrale grazie alla quale è possibile orientarsi o meno verso questa sindrome.
Sia la tomografia a emissione di positroni (PET) sia l’elettroencefalogramma (EEG) possono dare informazioni sull’attività cerebrale. Tramite la PET si può osservare se il metabolismo cerebrale è normale, e in tal caso, significherebbe che le funzioni cerebrali si sono conservate e ci si preserva coscienti, come nella citata sindrome.
Tramite l’EEG si può monitorare l’attività delle onde cerebrali. Posizionando degli elettrodi in testa, questi strumenti permettono di determinare le onde che predominano al momento. Nel caso di una persona che soffre della sindrome locked-in, si verificherebbe un ritmo alfa posteriore reattivo.
Lo scafandro e la farfalla
Jean-Dominique Bauby è stato un giornalista francese che, a 43 anni, ebbe un’embolia cerebrale. Dopo 20 giorni di coma, si svegliò affetto da sindrome locked-in, capace solo di muovere l’occhio sinistro e di poco la testa. Soffrì di un notevole deterioramento fisico, perdendo all’incirca 27 chili in poche settimane.

Il peggioramento del suo stato di salute causato dall’embolia sofferta lo costrinse a convivere con questa malattia per circa un anno. Durante questo periodo che trascorse “intrappolato nel suo corpo”, imparò un metodo per comunicare facendo uso di una lavagna munita di alfabeto e delle sue palpebre. Con l’aiuto di alcuni logopedisti e della sua famiglia, scrisse un libro autobiografico, “Lo scafandro e la farfalla”, che divenne un best-seller.
«Esistono nel cosmo chiavi in grado di aprire il mio scafandro? Una linea della metro senza fine? Una moneta abbastanza potente da poter comprare la mia libertà? Bisogna cercare in un altro luogo. Andrò lì»
-Jean-Dominique Bauby-
Vi è anche un film basato sul suo libro, dallo stesso titolo, nel quale si può osservare la sfida che presuppone per Jean-Dominique affrontare questa dura malattia e i pensieri che affollano la sua mente e che il suo corpo non è in grado di esprimere. Utilizzerà l’immaginazione e viaggerà con la mente in luoghi diversi, che gli permetteranno di sfuggire a una realtà difficile da affrontare.
La sindrome locked-in è una patologia poco frequente causata da una lesione pontina bilaterale. La ripercussione della lesione sul ponte è grave e fa sì che la persona non riesca a muovere il corpo, ad eccezione degli occhi e delle palpebre. Nonostante si perda quasi del tutto la mobilità, la coscienza e il sistema somatosensoriale rimangono intatti.
È come se il cervello si “sconnettesse” dal corpo e perdesse la capacità di inviare comandi. Viceversa, il cervello continua a ricevere tutti i segnali sensitivi, come il dolore e la temperatura, e anche quelli somatici, come la fame. La comunicazione diventa quasi impossibile data l’incapacità di muovere i muscoli fonatori e questa si riduce all’uso del movimento delle palpebre. La persona sceglie le lettere delle parole e delle frasi che vuole formare da una lavagna sulla quale figura l’alfabeto. È un metodo lento, ma che è stato in grado di dar “voce” a coloro che la perdono a causa di questa sindrome.
Sindrome locked-in: sintomi, cause e pronostici
La sintomatologia della sindrome locked-in è il seguente: tetraplegia, anartria (incapacità di articolare il linguaggio) e conservazione della coscienza. Poiché non sono coinvolte né la corteccia cerebrale né il talamo, le funzioni cognitive non vengono colpite. Il soggetto percepisce, elabora e produce con normalità l’informazione tramite i processi cognitivi. Percepisce tutti gli stimoli esterni, ma non è in grado di rispondervi fisicamente.

La causa principale di questa sindrome è la trombosi basilare, che può presentare sintomi premonitori settimane o mesi prima, come vertigini o nausea. Come causa non vascolare, troviamo il trauma cranioencefalico, con la contusione del tronco cerebrale o la dissezione vertebrobasilare. A seconda della gravità del danno motorio, si possono distinguere tre diversi quadri clinici:
- Classico: presenta tetraplagia e anartria con conservazione della coscienza e della mobilità oculare e delle palpebre.
- Incompleto: simile al classico, ma si conserva qualche movimento in più oltre a quello oculare.
- Totale: non si preserva nessun movimento, solitamente è accompagnato da lesioni del mesencefalo.
A seconda dell’evoluzione, può essere transitorio o cronico. Nei casi in cui si verifica una diconnessione delle vie discendenti proveniente dal ponte, la condizione è irreversibile. La disconnessione delle vie discendenti fa sì che non arrivino i comandi inviati dal resto del corpo e, di conseguenza, che non si possa rispondere a nessuno stimolo, sebbene venga percepito.
Mezzi per diagnosticare la sindrome locked-in
È logico pensare che sia difficile individuare la sindrome locked-in e differenziarla da altre, come il coma anche se in un primo momento non è facile sapere se le facoltà mentali del paziente sono intatte, poiché non è possibile comunicare.
Esistono, però, alcune prove neurologiche che aiutano la diagnosi. La risonanza magnetica può mostrare il tipo di lesione cerebrale grazie alla quale è possibile orientarsi o meno verso questa sindrome.
Sia la tomografia a emissione di positroni (PET) sia l’elettroencefalogramma (EEG) possono dare informazioni sull’attività cerebrale. Tramite la PET si può osservare se il metabolismo cerebrale è normale, e in tal caso, significherebbe che le funzioni cerebrali si sono conservate e ci si preserva coscienti, come nella citata sindrome.
Tramite l’EEG si può monitorare l’attività delle onde cerebrali. Posizionando degli elettrodi in testa, questi strumenti permettono di determinare le onde che predominano al momento. Nel caso di una persona che soffre della sindrome locked-in, si verificherebbe un ritmo alfa posteriore reattivo.
Lo scafandro e la farfalla
Jean-Dominique Bauby è stato un giornalista francese che, a 43 anni, ebbe un’embolia cerebrale. Dopo 20 giorni di coma, si svegliò affetto da sindrome locked-in, capace solo di muovere l’occhio sinistro e di poco la testa. Soffrì di un notevole deterioramento fisico, perdendo all’incirca 27 chili in poche settimane.

Il peggioramento del suo stato di salute causato dall’embolia sofferta lo costrinse a convivere con questa malattia per circa un anno. Durante questo periodo che trascorse “intrappolato nel suo corpo”, imparò un metodo per comunicare facendo uso di una lavagna munita di alfabeto e delle sue palpebre. Con l’aiuto di alcuni logopedisti e della sua famiglia, scrisse un libro autobiografico, “Lo scafandro e la farfalla”, che divenne un best-seller.
«Esistono nel cosmo chiavi in grado di aprire il mio scafandro? Una linea della metro senza fine? Una moneta abbastanza potente da poter comprare la mia libertà? Bisogna cercare in un altro luogo. Andrò lì»
-Jean-Dominique Bauby-
Vi è anche un film basato sul suo libro, dallo stesso titolo, nel quale si può osservare la sfida che presuppone per Jean-Dominique affrontare questa dura malattia e i pensieri che affollano la sua mente e che il suo corpo non è in grado di esprimere. Utilizzerà l’immaginazione e viaggerà con la mente in luoghi diversi, che gli permetteranno di sfuggire a una realtà difficile da affrontare.
Questo testo è fornito solo a scopo informativo e non sostituisce la consultazione con un professionista. In caso di dubbi, consulta il tuo specialista.







