Immagini mai viste prima dell'attività cerebrale del feto

Fino a poco tempo fa ottenere immagini dell’attività cerebrale di un feto nell’utero della madre era molto complicato. Attualmente, e grazie ad una tecnica particolarmente avanzata, disponiamo di immagini di grande qualità, che ci permettono di capire meglio determinati aspetti riguardanti lo sviluppo del feto, che fino ad ora non conoscevamo.
La risonanza magnetica del sistema nervoso fetale è un metodo di diagnosi complementare all’ecografia al quale vengono sottoposte molte madri per un motivo ben preciso: ottenere uno studio morfologico e biometrico del cervello del bambino grazie al quale poter individuare qualsiasi anomalia.
Queste prove di solito si realizzano durante la ventesima settimana di gravidanza, proprio quando si è già formato il corpo calloso cerebrale e le diagnosi assumono sicurezza. Ricordiamo che il feto è sospeso nell’universo amniotico, in quel mondo liquido in cui la risoluzione tramite risonanza magnetica è di scarsa qualità, e qualsiasi movimento impedisce il chiaro ottenimento dei dati.
Questo tipo di prove perinatali finora avevano un tasso di affidabilità del 50% nell’individuare una qualche anomalia. Ebbene, tutto questo è appena cambiato. Abbiamo fatto passi da giganti e disponiamo di algoritmi molto più precisi con i quali effettuare letture quasi perfette riguardo l’attività cerebrale del feto.
Ciò che si è scoperto grazie alle prime prove diagnostiche ha segnato una rivoluzione nel campo della medicina perinatale. Ve ne parliamo di seguito.

L’attività cerebrale dei bambini prematuri
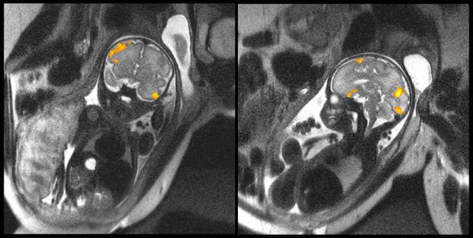
Nell’immagine superiore possiamo vedere la risonanza magnetica di un feto di 20 settimane e di un altro di 40. Sono immagini concesse dalla Facoltà di Medicina dell’Università Statale di Wayne (Michigan, Stati Uniti) che ci illustrano chiaramente l’attività cerebrale di due feti nell’utero materno.
Uno degli obbiettivi prioritari degli studiosi che hanno realizzato queste prove era quello di analizzare in che modo si connettono i neuroni durante le ultime settimane di gestazione. I dati ottenuti ci hanno rivelato aspetti fino a questo momento sconosciuti riguardo i bambini prematuri.
La bassa connettività cerebrale dei feti che nascono prematuramente
I dati di questo primo studio sono stati pubblicati sulla rivista Scientific Reports . Per portare a termine quest’analisi con le nuove risonanze magnetiche, sono state esaminate 36 donne in gravidanza dalla ventesimo alla trentaseiesima settimana. La metà presentava una gravidanza ad alto rischio e i bambini sono nati prematuri.
- È stato possibile scoprire che i feti che sarebbero nati prima del tempo presentavano una connettività molto debole rispetto agli altri feti durante la stessa settimana di gravidanza.
- Fino a questo momento si pensava che la bassa connettività cerebrale rilevata nei bambini nati prematuramente fosse dovuta soprattutto al parto traumatico o all’ipossia di cui molti soffrono durante lo stesso.
Tuttavia, questa nuova prova ha dimostrato chiaramente che la bassa attività neuronale si mostra già all’interno dell’utero materno, e che la scarsa connessione tra i neuroni è molto evidente nell’area di Brocca, vale a dire, nella zona relazionata con l’elaborazione del linguaggio.

Qual è l’utilità di queste nuove prove diagnostiche?
Come vi dicevamo all’inizio dell’articolo, la risonanza magnetica ha come obbiettivo quello di individuare qualsiasi anomalia perinatale. Oggigiorno, non possiamo ignorare il fatto che le nascite premature siano sempre più comuni, una realtà che obbliga medici, studiosi e le famiglie stesse a disporre di nuove strategie, energie e risorse.
- I dati di questo lavoro hanno dimostrato che molti dei bambini nati prematuramente presentavano il tessuto della placenta infiammato. Questo ci fa pensare che l’infiammazione materna può determinare la ridotta attività cerebrale del feto e la sua successiva nascita prematura.
- Inoltre, prima vengono individuate queste anomalie perinatali, maggiori saranno le probabilità di intervento alla nostra portata. Non dobbiamo nemmeno dimenticare che i bambini prematuri hanno un rischio maggiore di soffrire di autismo, deficit di attenzione e altri tipi di bisogni speciali riguardo l’apprendimento.

Per concludere, queste prime immagini sull’attività cerebrale dei feti umani ci fanno capire di avere alla nostra portata una porta da poter oltrepassare per capire un po’ meglio il nostro stesso sviluppo. Ciò nonostante, rappresentano, soprattutto, uno strumento diagnostico di precisione, con il quale offrire cure più complete al bambino prematuro, a quella vita che arriva prima del tempo e che ha grande bisogno della scienza, dei medici e della sua famiglia.
Speriamo che sia così.
Fino a poco tempo fa ottenere immagini dell’attività cerebrale di un feto nell’utero della madre era molto complicato. Attualmente, e grazie ad una tecnica particolarmente avanzata, disponiamo di immagini di grande qualità, che ci permettono di capire meglio determinati aspetti riguardanti lo sviluppo del feto, che fino ad ora non conoscevamo.
La risonanza magnetica del sistema nervoso fetale è un metodo di diagnosi complementare all’ecografia al quale vengono sottoposte molte madri per un motivo ben preciso: ottenere uno studio morfologico e biometrico del cervello del bambino grazie al quale poter individuare qualsiasi anomalia.
Queste prove di solito si realizzano durante la ventesima settimana di gravidanza, proprio quando si è già formato il corpo calloso cerebrale e le diagnosi assumono sicurezza. Ricordiamo che il feto è sospeso nell’universo amniotico, in quel mondo liquido in cui la risoluzione tramite risonanza magnetica è di scarsa qualità, e qualsiasi movimento impedisce il chiaro ottenimento dei dati.
Questo tipo di prove perinatali finora avevano un tasso di affidabilità del 50% nell’individuare una qualche anomalia. Ebbene, tutto questo è appena cambiato. Abbiamo fatto passi da giganti e disponiamo di algoritmi molto più precisi con i quali effettuare letture quasi perfette riguardo l’attività cerebrale del feto.
Ciò che si è scoperto grazie alle prime prove diagnostiche ha segnato una rivoluzione nel campo della medicina perinatale. Ve ne parliamo di seguito.

L’attività cerebrale dei bambini prematuri
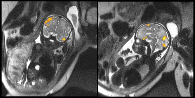
Nell’immagine superiore possiamo vedere la risonanza magnetica di un feto di 20 settimane e di un altro di 40. Sono immagini concesse dalla Facoltà di Medicina dell’Università Statale di Wayne (Michigan, Stati Uniti) che ci illustrano chiaramente l’attività cerebrale di due feti nell’utero materno.
Uno degli obbiettivi prioritari degli studiosi che hanno realizzato queste prove era quello di analizzare in che modo si connettono i neuroni durante le ultime settimane di gestazione. I dati ottenuti ci hanno rivelato aspetti fino a questo momento sconosciuti riguardo i bambini prematuri.
La bassa connettività cerebrale dei feti che nascono prematuramente
I dati di questo primo studio sono stati pubblicati sulla rivista Scientific Reports . Per portare a termine quest’analisi con le nuove risonanze magnetiche, sono state esaminate 36 donne in gravidanza dalla ventesimo alla trentaseiesima settimana. La metà presentava una gravidanza ad alto rischio e i bambini sono nati prematuri.
- È stato possibile scoprire che i feti che sarebbero nati prima del tempo presentavano una connettività molto debole rispetto agli altri feti durante la stessa settimana di gravidanza.
- Fino a questo momento si pensava che la bassa connettività cerebrale rilevata nei bambini nati prematuramente fosse dovuta soprattutto al parto traumatico o all’ipossia di cui molti soffrono durante lo stesso.
Tuttavia, questa nuova prova ha dimostrato chiaramente che la bassa attività neuronale si mostra già all’interno dell’utero materno, e che la scarsa connessione tra i neuroni è molto evidente nell’area di Brocca, vale a dire, nella zona relazionata con l’elaborazione del linguaggio.

Qual è l’utilità di queste nuove prove diagnostiche?
Come vi dicevamo all’inizio dell’articolo, la risonanza magnetica ha come obbiettivo quello di individuare qualsiasi anomalia perinatale. Oggigiorno, non possiamo ignorare il fatto che le nascite premature siano sempre più comuni, una realtà che obbliga medici, studiosi e le famiglie stesse a disporre di nuove strategie, energie e risorse.
- I dati di questo lavoro hanno dimostrato che molti dei bambini nati prematuramente presentavano il tessuto della placenta infiammato. Questo ci fa pensare che l’infiammazione materna può determinare la ridotta attività cerebrale del feto e la sua successiva nascita prematura.
- Inoltre, prima vengono individuate queste anomalie perinatali, maggiori saranno le probabilità di intervento alla nostra portata. Non dobbiamo nemmeno dimenticare che i bambini prematuri hanno un rischio maggiore di soffrire di autismo, deficit di attenzione e altri tipi di bisogni speciali riguardo l’apprendimento.

Per concludere, queste prime immagini sull’attività cerebrale dei feti umani ci fanno capire di avere alla nostra portata una porta da poter oltrepassare per capire un po’ meglio il nostro stesso sviluppo. Ciò nonostante, rappresentano, soprattutto, uno strumento diagnostico di precisione, con il quale offrire cure più complete al bambino prematuro, a quella vita che arriva prima del tempo e che ha grande bisogno della scienza, dei medici e della sua famiglia.
Speriamo che sia così.
Questo testo è fornito solo a scopo informativo e non sostituisce la consultazione con un professionista. In caso di dubbi, consulta il tuo specialista.







