Nucleus accumbens: motivazione e piacere


Scritto e verificato la psicologa Valeria Sabater
Trovare la motivazione per raggiungere un obiettivo. Sentire che, nonostante i fallimenti, vale la pena di continuare a sforzarsi. L’intenso piacere di un bacio. La gioia di gustare il proprio piatto preferito. Tutte queste sensazioni così determinanti e importanti nella nostra vita quotidiana sono gestite dal nucleus accumbens, un’area interessante e sorprendete del nostro sofisticato cervello.
Spesso non veniamo a conoscenza del’esistenza di alcune aree cerebrali finché qualche nostro conoscente non subisce un incidente e il suo modo di comportarsi o di porsi nei confronti della vita cambia radicalmente. Tuttavia, sarebbe consigliabile imparare a conoscere meglio il funzionamento del nostro cervello in condizioni normali. Capire la funzione di ogni area cerebrale ci permette di comprendere molto meglio i nostri comportamenti, le nostre motivazioni e i nostri impulsi.
Il nucleus accumbens è quell’interessante struttura cerebrale che plasma il nostro sistema di ricompensa. Se non ci fosse, perderemmo la forza, la catarsi, l’energia impareggiabile che ci rende esseri umani, parte di un contesto dove tutti, assolutamente tutti, ci muoviamo in funzione di un insieme di obiettivi (traguardi personali, sessuali, riguardanti l’apprendimento, l’alimentazione, ecc).
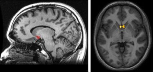
In ogni emisfero cerebrale c’è un nucleus accumbens che avvia vita a un complesso sistema di ricompensa. È grazie a esso che proviamo piacere, consolidiamo le cose che impariamo e troviamo la motivazione di cui abbiamo bisogno nella nostra vita di tutti i giorni.

Cos’è il nucleus accumbens?
Il nucleus accumbens è quel centro cerebrale sconosciuto alla maggioranza e ancora fonte di numerosi interrogativi per il mondo delle neuroscienze. Sappiamo che la sua funzione principale consiste nell’attivare la motivazione. Ma c’è dell’altro, quest’area fa sì che la volontà, la sensazione di ottimismo e voglia di superarci che spesso ci pervade si traduca poi in una risposta comportamentale, cioè in azione.
Se vi state chiedendo dove si trova questa struttura, visualizzate la zona subcorticale (al di sotto della corteccia) proprio nel punto di intersezione tra il nucleo caudato, il putamen e il setto. Uno degli aspetti più interessanti riguardo al nucleus acumbens e la sua posizione è che fa parte del percorso dopaminergico nel cervello. Si tratta del cosiddetto percorso mesolimbico, che ha il compito di inviarci degli stimoli ogni volta che il cervello comprende che stiamo facendo esperienze positive e gratificanti.
Questa struttura celebrale nasconde ancora qualche interrogativo per i neurologi. Fino a non molto tempo fa si pensava che il nucleus accumbens fosse legato alle esperienze gratificanti. Tuttavia, oggi sappiamo che ha a che vedere anche con le situazioni avverse o comunque non piacevoli. E ciò accade per una ragione molto semplice. Quando ci ritroviamo di fronte a qualcosa che non ci piace, il nucleus accumbens si attiva per permetterci di “fuggire” dalla situazione.
Il suo coinvolgimento nei processi di facilitazione dell’apprendimento e persino del nostro istinto di sopravvivenza (che ci porta a dirigerci verso ciò che ci fa bene e ad allontanarci da quello che può danneggiarci) è senza dubbio interessante, oltre che di cruciale importanza.

Neurobiologia del nucleus accumbens
Ogni emisfero cerebrale ha il suo nucleus accumbens. In questo modo, il sistema di ricompensa gestito dalla dopamina arriva ad ogni area cerebrale. Si tratta inoltre di una struttura che fa parte dei cosiddetti gangli della base. Anche se a primo impatto e attraverso le immagini ci può sembrare molto più piccolo, i nucleus accumbens presenta un’enorme rete di connessioni.
La sua “connessione” più rilevante è quella che lo collega al sistema limbico. Ricordiamo che quest’area è composta da diverse strutture: talamo, ipotalamo e amigdala, e che è a sua volta responsabile della regolazione della nostra sfera emotiva. Vediamo di seguito in maniera più approfondita come il nucleus acumbens stabilisce le sue interessanti connessioni grazie alla sua sofisticata anatomia.
1. Corteccia (shell)
È attraverso questa zona che il nucleus accumbens stabilisce una connessione con il sistema limbico e anche con il lobo frontale. Fa da ponte, riceve e invia informazioni. Allo stesso tempo, ottiene e regola la dopamina, la serotonina, il glutammato, ecc..

2. Zona centrale (core)
Ci troviamo ora nella parte centrale del nucleus acumbens. Qui, la sua funzione è quella di gestire la coordinazione grazie alla sua connessione con i gangli della base, la materia grigia e la corteccia motoria.
Quest’area è responsabile di gran parte delle azioni e dei movimenti che hanno un significato emotivo. Vale a dire che ogni volta che sentiamo la motivazione, l’impulso di alzarci dalla sedia per metterci a fare o ottenere qualcosa, dietro quest’impulso c’è proprio lui, il nucleus accumbens!
Quali sono le funzioni del nucleus accumbens?
Sappiamo già che il nucleus accumbens regola e mette in moto la motivazione, il piacere e la capacità di raggiungere degli obiettivi. Tuttavia, visto il suo ampio coinvolgimento nella sfera emotiva, svolge numerose altre funzioni. Vediamole di seguito.
- Ci aiuta a pianificare. Grazie alla sua connessione con la corteccia celebrale, riusciamo a porci degli obiettivi, a stabilire delle sequenze o degli itinerari per raggiungere un determinato luogo, ecc..
- Ci porta a valutare le situazioni. Il nucleus accumbens è legato alla nostra memoria emotiva. Pertanto, grazie a esso, riusciamo ad analizzare determinate situazioni per apportare dei cambiamenti, dare il via libera e decidere se forse sarebbe meglio rimandare alcune sfide o obiettivi.
- Ci aiuta a imparare, a recepire nuove informazioni. La motivazione e l’apprendimento vanno sempre di pari passo, infatti, il semplice fatto di comprendere, interiorizzare e memorizzare non avrebbe senso senza la componente emotiva che ci viene fornita dal nucleus accumbens.
- Sesso e alimentazione. Questa struttura cerebrale non è l’unica relazionata con la sensazione di piacere. Tuttavia, svolge un ruolo chiave (come già sottolineato in precedenza) per quanto concerne la motivazione e il sistema neurochimico di ricompensa. Tutto ciò è dovuto al suo collegamento con il percorso dopaminergico, vale a dire quel neurotrasmettitore legato al piacere e alla felicità, ma anche alla dipendenza.
In conclusione,il cervello e le sue aree non smettono mai di sorprenderci. Si tratta di una macchina perfetta in cui ogni piccola parte svolge un ruolo ben preciso. Tuttavia, nessuna funziona in maniera isolata. Sono tutte collegate tra loro, tutte dipendenti l’una dall’altra per lavorare in un’affascinante armonia nella quale il nucleus accumbens rappresenta un tassello più che privilegiato.
Questo testo è fornito solo a scopo informativo e non sostituisce la consultazione con un professionista. In caso di dubbi, consulta il tuo specialista.






