Microbioma cerebrale: batteri nel cervello


Revisionato e approvato da la psicologa Gema Sánchez Cuevas
Erano già interessanti le ipotesi sulla relazione che intercorre tra il microbioma intestinale e il cervello, ma pare che il legame sia ancora più stretto di quanto non si pensasse fino a oggi. Nell’ultimo congresso della Society for Neuroscience, l’Università dell’Alabama ha presentato una ricerca che mostra che alcuni batteri intestinali vivono in diverse aree del cervello, ciò che sembrerebbe essere un microbioma cerebrale.
È una scoperta affascinante e allo stesso tempo allarmante. Sono stati isolati dei ceppi batterici, ma non si riesce ancora a spiegare come siano arrivati al cervello, né se siano benefici o negativi. Si sospetta che questa sorta di microbioma cerebrale possa perfino agire sull’umore e, forse, sulla nostra personalità.
Che cos’è il microbioma intestinale?
È un insieme di microrganismi presente nel nostro intestino; si parla di milioni di batteri di ceppi diversi, formati da milioni di geni. Tra questi solo un terzo è comune a tutti gli esseri umani, il resto è diverso in ogni persona. Possiamo dire, quindi, che il microbioma intestinale è una parte importante della nostra identità.
Tra le sue funzioni più importanti ricordiamo la regolazione del sistema immunitario, l’assorbimento dei nutrienti e il controllo degli agenti patogeni esterni. Qualsiasi alterazione del microbioma intestinale può essere all’origine di malattie autoimmuni, allergie e infezioni. In tempi recenti, di fatto, sono state messe in relazione anche alla malattia di Alzheimer e al Parkinson.
D’altra parte, gli squilibri della flora intestinale generano lo sviluppo di endotossine, alti livelli di ossidazione e deposito di grasso addominale. L’infiammazione cronica produce, inoltre, l’insorgere di malattie cardiovascolari e del diabete.
Sebbene facciano per lo più paura, la verità è che non possiamo vivere senza questi batteri. Senza esserne consapevoli, ospitiamo nel nostro corpo miliardi di esseri viventi.

Il microbioma cerebrale
La presenza di batteri nel cervello è stata una sorpresa per la comunità scientifica. Una delle prime questioni da risolvere è capire come possano arrivare al cervello dal momento che questo è protetto dalla barriera ematoencefalica.
Tale barriera è il sistema che protegge il cervello impedendo l’ingresso agli agenti esterni; allo stesso tempo, permette il passaggio selettivo di aminoacidi e molecole. I batteri trovati nel cervello sono, tuttavia, per la maggior parte di filogenesi intestinale.
Sono le cellule gliali, gli astrociti con funzione di sostegno per i neuroni, che impediscono l’ingresso nel cervello di neurotossine e altri agenti. Quando queste sostanze nocive riescono a oltrepassare la barriera di protezione, spesso producono infiammazioni dalle conseguenze gravi e perfino mortali.
L’aspetto curioso di tutta la questione è che gli astrociti sembrano essere la sede preferita dei batteri intestinali che vivono nel cervello.
Sono diverse le ipotesi su come i batteri arrivino fin lì. Si pensa, ad esempio, che giungano attraverso i nervi dell’intestino, la barriera ematoencefalica o il naso. Ma sono tesi ancora da confermare e il microbioma cerebrale resta ancora un mistero da studiare.

La ricerca
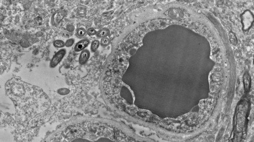
La dott.ssa Rosalinda Roberts e la sua equipe del Psychiatry and Behavioral Neurobiology dell’Università dell’Alabama sono i responsabili di questo risultato. Per ottenerlo, hanno studiato il cervello postmortem di 34 persone: metà soggetti sani e l’altra metà affetti da schizofrenia. È stato, inoltre, condotto uno studio parallelo sulle cavie; questo è servito a escludere che i batteri appaiono solo dopo la morte o erano dovuti a contaminazione dei reperti.
Tanto nel primo studio quanto in quello parallelo, è stata osservata la presenza di batteri nel cervello, umano e delle cavie, in situazioni non infettive e non traumatiche. Il microbioma cerebrale si trova soprattutto nella substantia nigra, nell’ippocampo e nella corteccia prefrontale e in scarse quantità nello striato. Nessuno dei cervelli esaminati mostrava segni di infiammazione.
Questi risultati hanno lasciato la porta aperta alla speculazione e a nuove ricerche sul microbioma cerebrale. Per il momento si considera l’ipotesi che questi microbi siano correlati al comportamento, l’umore e alcune malattie neurologiche. I risultati su soggetti sani portano a pensare, tuttavia, che la convivenza possa essere vantaggiosa, così come avviene nell’intestino. Nessuna possibilità è esclusa.
Immagine principale per gentile concessione di Rosalia Roberts, Courtney Walker e Charlene Farmer.
Tutte le fonti citate sono state esaminate a fondo dal nostro team per garantirne la qualità, l'affidabilità, l'attualità e la validità. La bibliografia di questo articolo è stata considerata affidabile e di precisione accademica o scientifica.
- Neuroscience 2018, R.C. Roberts, C.B. Farmer, C.K. Walker. The human brain microbiome; there are bacteria in our brains! 2018. https://abstractsonline.com/pp8/#!/4649/presentation/32057
- Ansa.it, Salute & Benessere, Alzheimer, possibile legame con microbi dell’intestino. http://www.ansa.it/saluteebenessere/notizie/rubriche/medicina/2016/09/09/alzheimer-possibile-legame-con-microbi-dellintestino_df16fb3e-5476-4f68-9963-848e5c060a8a.html
- Nature, Scientific Reports. Reduction of Abeta amyloid pathology in APPPS1 transgenic mice in the absence of gut microbiota, 2017. https://www.nature.com/articles/srep41802
Questo testo è fornito solo a scopo informativo e non sostituisce la consultazione con un professionista. In caso di dubbi, consulta il tuo specialista.






